В Витебскую областную больницу поступила пациентка с нестандартной жалобой. Как рассказала девушка, все началось с болей в животе. У нее было ощущение, что желудок «встал». И тогда она решила помочь себе народными методами. Что произошло дальше, медики рассказали в телеграм-канале больницы.
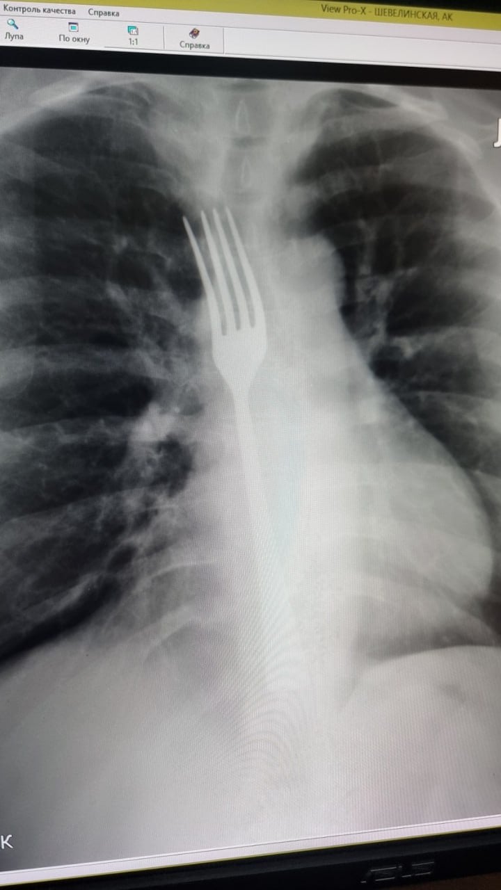
Девушка попыталась вызвать рвоту своими силами. Для этого она использовала черенок от вилки. Но «лечение» пошло не по плану: вилка проскользнула в пищевод и застряла в нем.

Пришлось срочно вызвать скорую помощь. Девушку сразу же после обследования отправили в операционную. Благодаря слаженной работе врачей удалось избежать серьезных осложнений. К счастью, вилка не вклинилась в пищевод, что существенно бы осложнило помощь. Под наркозом инородный предмет сместили в желудок, а уже оттуда извлекли во время открытой полостной операции.

К этому моменту пациентка находится в сознании, ее перевели в отделение.